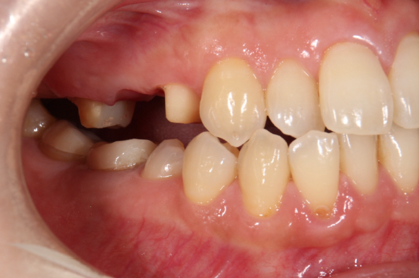
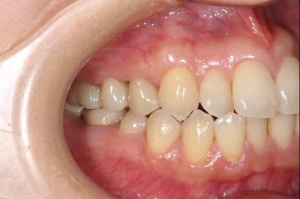
ジルコニアブリッジの症例
治療前

治療後

| 主訴 | 奥歯をきれいに治したい。 |
|---|---|
|
性別・年齢 |
女性・45歳 |
|
治療内容 |
インプラントは希望されなかったため、ジルコニアブリッジで歯の機能を修復しました。 |
|
費用 |
30万(税込) |
|
治療回数 |
2回 |
|
治療期間 |
2〜3週間 |
|
リスク・副作用 |
知覚過敏、歯ぎしり・食いしばりの癖がある患者様の場合、破折リスクがあります。 セラミック治療は歯を白くし、見た目の改善ができる治療だけでなく歯を守るための治療です。 |
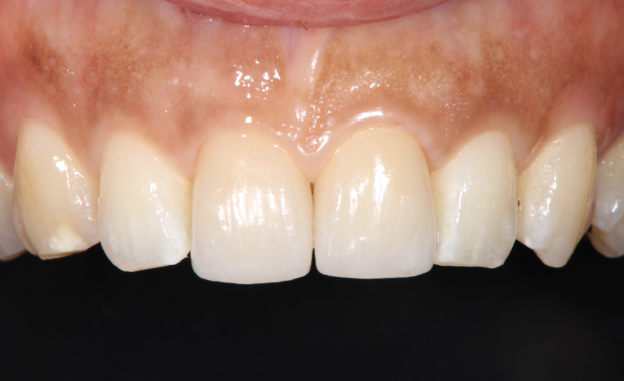
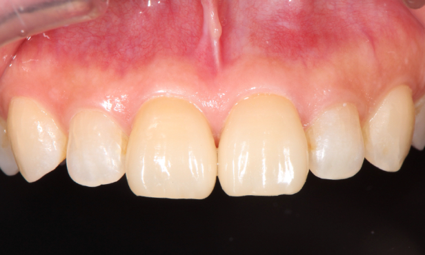
破折部をセラミックで修復した症例
治療前

治療後

| 主訴 | 事故により前歯が折れてしまったため、綺麗に治したい。 |
|---|---|
|
性別・年齢 |
20代・女性 |
|
治療内容 |
オールセラミッククラウン 2本 |
|
費用 |
24万(税込) |
|
治療回数 |
2回 |
|
治療期間 |
2〜3週間 |
|
リスク・副作用 |
知覚過敏、歯ぎしり・食いしばりの癖がある患者様の場合、破折リスクがあります。 |
ラミネートベニアの症例
治療前

治療後

| 主訴 | 前歯の隙間をどうにかして欲しい。 |
|---|---|
|
性別・年齢 |
女性 40代 |
|
治療内容 |
ラミネートベニア 2本 |
|
費用 |
費用 20万(税込) |
|
治療回数 |
2回 |
|
治療期間 |
2〜3週間 |
|
リスク・副作用 |
知覚過敏、歯ぎしり・食いしばりの癖がある患者様の場合、破折リスクがあります。 |
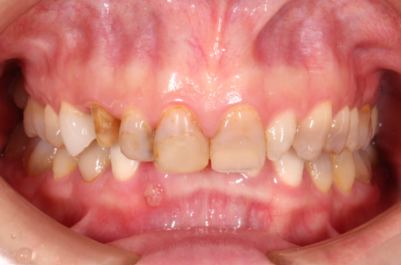
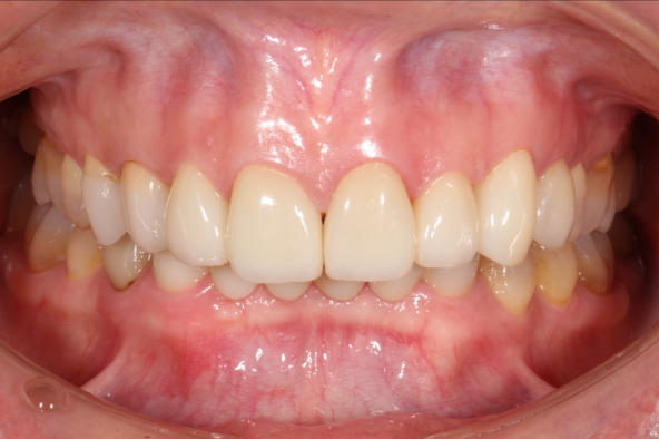
オールセラミッククラウンの症例
治療前

治療後

| 主訴 | 前歯が全体的に綺麗にしたい。 |
|---|---|
|
性別・年齢 |
女性 50代 |
|
治療内容 |
オールセラミッククラウン 7本 |
|
費用 |
費用 84万(税込) |
|
治療回数 |
3〜4回 |
|
治療期間 |
約1ヶ月 |
|
リスク・副作用 |
知覚過敏、歯ぎしり・食いしばりの癖がある患者様の場合、破折リスクがあります。 セラミック治療は歯を白くし、見た目の改善ができる治療だけでなく歯を守るための治療です。 |
