当院のむし歯治療への考え方
当院は、むし歯治療において、できるだけ天然歯を「削らない・抜かない・痛みの少ない治療」を行うことが重要だと考えております。歯は削ってしまうと、二度と元に戻ることはありません。削る歯の量を最小限に抑えて天然の歯質をより多く残すことは、歯の寿命をのばすことにつながります。歯を多く削り天然の歯質の量が少なくなってしまうと、破損しやすいとても脆い歯になってしまいます。また、歯を抜いてしまうと、歯並び全体やかみ合わせに乱れが生じ、お口の健康だけでなく全身の健康バランスも崩してしまいます。当院では、痛みの少ないむし歯治療で、患者様の心身にかかる負担を最小限に抑えます。そして、お口の健康を長く保つため、天然歯をできるだけ削らない・抜かないむし歯治療を心がけています。患者様がいつまでも天然歯で会話や食事を長く楽しんでいただけるよう、むし歯の予防・むし歯の早期発見・早期治療を行なっております。
麻酔の仕方も工夫しています!
当院は、麻酔注射を行う際の痛みを軽減するために「表面麻酔」、「電動麻酔器」を使用しています。むし歯治療の痛みは麻酔注射によってほとんど感じることがありませんが、麻酔注射を行う際の痛みが苦手という方は多くいらっしゃいます。 当院では、麻酔注射をする前に歯茎に表面麻酔を塗布することで、麻酔注射が刺さる際のチクっとした痛みや不快感を生じにくくしています。また、麻酔薬を注入する際のスピードが一定でないと歯茎にかかる刺激や圧力によって痛みや違和感を覚えやすくなってしまうため、「電動麻酔器」を使用しています。電動麻酔器はコンピューターで制御しているので麻酔薬を一定のスピードでゆっくり注入することができます。麻酔注射の位置や角度なども患者様が痛みを感じることなく治療を行えるよう工夫しております。また、患者様に安心して治療を受けていただけるよう丁寧な説明を心がけています。小さなことでも気になることや不安なことがありましたら、お気軽にご相談ください。
表面麻酔

電動麻酔

なるべく削らない拡大視野下でのむし歯治療
なるべく削らないむし歯治療を行うためには、むし歯になっている部分と健康な部分を正確に見分けることがとても重要です。当院では、拡大鏡を使用した拡大視野でむし歯治療を行うことで、むし歯の部分だけを削り、健康な歯質をより多く残す精密な治療を可能にしています。また、拡大鏡を使用すると肉眼では確認が難しい細かい部分の状態も把握することができ、むし歯の早期発見・早期治療が行えます。
ダイレクトボンディングにも対応可能
むし歯で削った部分や隙間があいてしまっている前歯などに、直接白いペースト状の歯科用樹脂を詰めて形を整える修復方法をダイレクトボンディングといいます。他の詰め物や被せ物と違い、ダイレクトボンディングは型取りをする必要がないのでその日のうちに治療を終えることが可能です。また、ダイレクトボンディングは審美性に優れているだけでなく、歯を削る量も最小限に抑えることができる治療法です。ダイレクトボンディングは適応症例が限られているため、大きなむし歯や奥歯には適応が難しい場合もありますが、ご希望の方はお気軽にご相談ください。
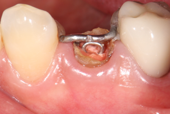
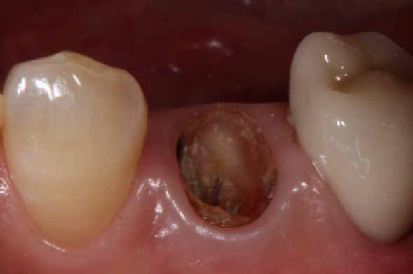
可能な限り歯の神経を残す取り組み「歯髄温存療法」
むし歯が進行し、神経まで虫歯菌に感染してしまった場合、神経のある歯髄を取り除く「抜髄」を行うことが一般的です。しかし、当院では「歯髄温存療法」を用いてできるだけ歯髄を残す治療を行なっています。歯髄温存療法では、感染が生じている部分のみを歯髄内から取り除き、MTAセメント(神経を温存するための特殊な材料)を使って残った歯髄を覆い保護します。歯髄温存療法で歯の破損や根尖病変などのリスクを軽減することによって、歯の健康を長く維持することが可能になります。当院では、拡大鏡を使用し、精密な歯髄温存療法を行なっています。
神経を残すことの重要性
歯の最も内側にあり、歯の神経や血管が入っている部分のことを歯髄といいます。歯髄は、歯に栄養や血液を供給し歯の強度を保つ役割や、温度や痛みなどの刺激を感知し歯のトラブルを伝える役割、細菌感染に抵抗しむし歯の進行を防ぐ役割、歯と歯茎への衝撃を和らげるクッションのような役割など、さまざまな役割を担っています。そのため、歯の健康を長く維持するためには歯髄を温存すること(神経を残すこと)がとても重要です。抜髄処置をした神経のない歯のことを失活歯といいますが、失活歯の歯根破折リスクはとても高く、将来的に歯を失うリスクも高めてしまいます。(本来の歯と比べると約10年程短くなります。平均して歯の寿命は5〜30年です)また、歯髄を取り除く抜髄処置は精度の高い技術が必要で、抜髄処置が不適切だった場合、歯の根尖病変が生じたり、歯が脆くなったりするリスクがあることにも注意しなければいけません。神経を残すことは歯の寿命を長く維持し、お口の健康と全身の健康を守ることにつながります。
むし歯の進行と治療方法

CO:ごく初期のむし歯
歯の表面のエナメル質の部分がわずかに溶けている状態です。白濁して見えますが、痛みなどの自覚症状はありません。
【治療法】
適切なブラッシングで歯の汚れを除去し、フッ素塗布などで歯質の強化や再石灰化を促すことで治癒する可能性があります。
C1:エナメル質のむし歯
歯の表面のエナメル質が溶け茶褐色の変色が見られる状態。冷たいものがしみることもありますが、痛みなどの自覚症状を感じることはほとんどありません。
【治療法】
変色している部分を削り、むし歯を取り除きます。削った後は、白い歯科用プラスチックなどの詰め物をして補います。
C2:象牙質のむし歯
エナメル質の下の象牙質までむし歯が進行している状態です。茶褐色から黒色に変わります。冷たいものや甘いものを口にした時にしみたり痛みを感じたりするなどの自覚症状も現れます。
【治療法】
痛みを感じるようになっているため、麻酔を使用し治療します。むし歯部分を削り取り、詰め物や被せ物などで歯の機能を補います。
C3:歯の神経まで達したむし歯
歯のエナメル質と象牙質を溶かし、さらに内側の神経の部分まで進行したむし歯。何もしていなくてもズキズキとした激しい痛みを感じるようになります。
【治療法】
むし歯に感染した神経や血管を取り除く根管治療を行います。根管治療を行なった後は、被せ物(クラウン)を装着し歯の機能を補います。
むし歯にならないための予防
むし歯にならないために、歯科医院での定期検診を受けるようにしましょう。より多くの天然歯を残しお口の健康を長く維持するためには、定期検診によってむし歯の予防・早期発見・早期治療を行うことが重要です。歯が痛くなってから歯科医院に行くのでは、すでにむし歯が進行してしまっている場合が多いです。むし歯が進行してしまっていると歯質を多く削る必要があり、歯に大きなダメージを与えてしまいます。歯が痛くなってから歯科医院に行くのではなく、むし歯にならないため・再発させないために歯科医院に通うことが大切です。歯の1本の価値は約35〜100万あると言われています。そのような観点からも虫歯にならない、歯を失わない事の重要性がわかるかなと思います。毎日の丁寧なセルフケアと、定期的に歯科での検診とプロのケアを行うことでむし歯や歯周病などのトラブルを予防し、大切な歯の健康を守りましょう。
