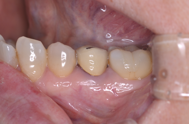
- ジルコニアブリッジの症例
- 破折部をセラミックで修復した症例
- ラミネートベニアの症例
- オールセラミッククラウンの症例
- ジルコニアインレーの症例
- ジルコニアクラウンの症例
- セラミッククラウン+コンポジットレジン修復の症例
- オールセラミックの症例
ジルコニアブリッジの症例
治療前

治療後

| 主訴 | 奥歯をきれいに治したい。 |
|---|---|
|
性別・年齢 |
女性・45歳 |
|
治療内容 |
インプラントは希望されなかったため、ジルコニアブリッジで歯の機能を修復しました。 |
|
費用 |
30万(税込) |
|
治療回数 |
2回 |
|
治療期間 |
2〜3週間 |
|
リスク・副作用 |
知覚過敏、歯ぎしり・食いしばりの癖がある患者様の場合、破折リスクがあります。 セラミック治療は歯を白くし、見た目の改善ができる治療だけでなく歯を守るための治療です。 |
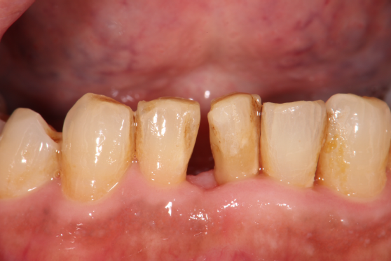
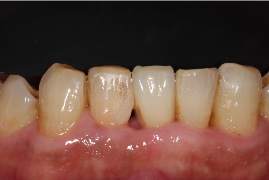
破折部をセラミックで修復した症例
治療前

治療後

| 主訴 | 事故により前歯が折れてしまったため、綺麗に治したい。 |
|---|---|
|
性別・年齢 |
20代・女性 |
|
治療内容 |
オールセラミッククラウン 2本 |
|
費用 |
24万(税込) |
|
治療回数 |
2回 |
|
治療期間 |
2〜3週間 |
|
リスク・副作用 |
知覚過敏、歯ぎしり・食いしばりの癖がある患者様の場合、破折リスクがあります。 |
ラミネートベニアの症例
治療前

治療後

| 主訴 | 前歯の隙間をどうにかして欲しい。 |
|---|---|
|
性別・年齢 |
女性 40代 |
|
治療内容 |
ラミネートベニア 2本 |
|
費用 |
費用 20万(税込) |
|
治療回数 |
2回 |
|
治療期間 |
2〜3週間 |
|
リスク・副作用 |
知覚過敏、歯ぎしり・食いしばりの癖がある患者様の場合、破折リスクがあります。 |
オールセラミッククラウンの症例
治療前

治療後

| 主訴 | 前歯が全体的に綺麗にしたい。 |
|---|---|
|
性別・年齢 |
女性 50代 |
|
治療内容 |
オールセラミッククラウン 7本 |
|
費用 |
費用 84万(税込) |
|
治療回数 |
3〜4回 |
|
治療期間 |
約1ヶ月 |
|
リスク・副作用 |
知覚過敏、歯ぎしり・食いしばりの癖がある患者様の場合、破折リスクがあります。 セラミック治療は歯を白くし、見た目の改善ができる治療だけでなく歯を守るための治療です。 |
ジルコニアインレーの症例
治療前

治療後

| 主訴 | 金属を白く綺麗にしたい。今後虫歯になりたくない |
|---|---|
|
性別・年齢 |
女性・40代 |
|
治療内容 |
ジルコニアインレーを選択し今後の虫歯を最小限に予防した |
|
費用 |
165,000円(税込) |
|
治療回数 |
2回 |
|
治療期間 |
1〜2週間 |
|
リスク・副作用 |
知覚過敏、歯ぎしり・食いしばりの癖がある患者様の場合、破折リスクがあります。 |
ジルコニアクラウンの症例
治療前

治療後

| 主訴 | 歯がすり減って銀が見えてきたのが気になる |
|---|---|
|
性別・年齢 |
女性・50代 |
|
治療内容 |
ジルコニアクラウン |
|
費用 |
100,000円(税込) |
|
治療回数 |
2回 |
|
治療期間 |
1週間程度 |
|
リスク・副作用 |
知覚過敏、歯ぎしり・食いしばりの癖がある患者様の場合、破折リスクがあります。 セラミック治療は歯を白くし、見た目の改善ができる治療だけでなく歯を守るための治療です。 |
セラミッククラウン+
コンポジットレジン修復の症例
治療前

治療後

| 主訴 | 隙間が気になる。インプラントや矯正はしたくない |
|---|---|
|
性別・年齢 |
男性・50歳 |
|
治療内容 |
セラミッククラウン+コンポジットレジン修復 |
|
費用 |
120,000円(税込) |
|
治療回数 |
3回 |
|
治療期間 |
1ヶ月 |
|
リスク・副作用 |
知覚過敏、歯ぎしり・食いしばりの癖がある患者様の場合、破折リスクがあります。 セラミック治療は歯を白くし、見た目の改善ができる治療だけでなく歯を守るための治療です。 |
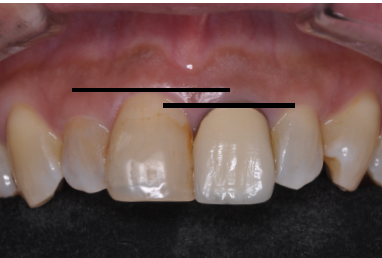
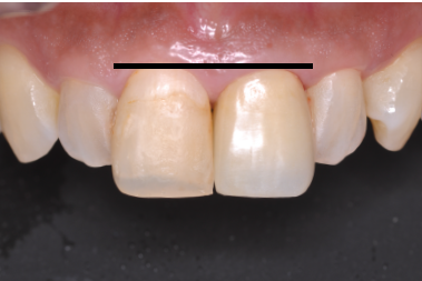
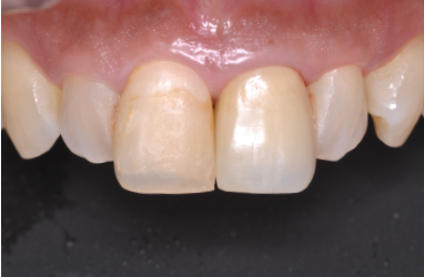
オールセラミックの症例
歯肉ライン不一致

歯肉ライン一致

治療前

仮歯SET時

オールセラミックSET時

| 主訴 | 前歯の色、歯茎の高さの不一致が気になる |
|---|---|
|
性別・年齢 |
女性・50歳 |
|
治療内容 |
歯茎のラインを合わせるためにクラウンレングスニングを行いオールセラミックをSETしました。 |
|
費用 |
クラウンレングスニング 5500円 仮歯 4400円 オールセラミック 120000円 |
|
治療回数 |
5回程度 |
|
治療期間 |
1〜2ヶ月程度 |
|
リスク・副作用 |
知覚過敏、歯ぎしり・食いしばりの癖がある患者様の場合、破折リスクがあります。 セラミック治療は歯を白くし、見た目の改善ができる治療だけでなく歯を守るための治療です。 |
